The alternative that is improving the oral health of nicotine users
In Sweden, Sting-Free nicotine pouches have emerged as an innovative solution to protect nicotine users’ oral health. Endorsed by dentists, these pouches not only reduce oral damage but also represent a significant advancement in harm reduction associated with tobacco use.
In a world where health solutions often get trapped in endless debates, commodified by large corporations, and remain inaccessible to the vast majority of the global population, Sweden stands out as a beacon of innovation with a product that has the potential to transform the oral health of millions of nicotine users.
Sting-free nicotine pouches, equipped with a unique protective barrier, have shown unprecedented ability in recent trials to reduce irritation and oral lesions, in addition to the well-known comfort they provide to users.
This Swedish innovation is not only endorsed by health professionals but could also reshape the global approach to harm reduction among nicotine product users.
Surprising results
In the spring of 2024, Stingfree AB conducted an unprecedented clinical trial with 23 Swedish dentists, all regular users of snus or nicotine pouches.
Over five weeks, these professionals, who are well aware of the damage tobacco products can cause to oral health, evaluated the effectiveness of Stingfree pouches, specifically designed to protect gums and the oral mucosa from irritation and damage.
The results were undeniable, showing:
A drastic reduction in gingival irritation: gum irritation dropped from 43.5% to 4.3%.
Significant decrease in oral lesions: the occurrence of lesions in the oral mucosa fell from 95.7% to 65.2%.
There was a notable improvement in lesion severity: mucosal damage severity, measured on the Axell scale, was reduced by 51.9%.
Positive feedback from users: an overwhelming 74% of participating dentists reported a considerable improvement in their gum health by the end of the trial.
Before the trial, 95.7% of participants had snus-induced lesions in the oral mucosa, with an average severity of 2.26 on the Axell scale (from 0 to 4).
After the trial, the percentage of participants with lesions dropped to 65.2%, and the average lesion severity decreased to 1.09 on the same scale.
No change was observed in gingival recession, as 39.1% of participants had it both before and after the trial. However, gum irritation drastically decreased from 43.5% to 4.3%.
Additionally, gingivitis, present in 13% of participants before the trial, disappeared entirely by the end of the testing period.
Moreover, the percentage of participants without oral health problems, aside from gingival recession and snus-related lesions, significantly increased from 4.7% to 73.9% after the trial.
No cases of periodontitis were reported among the participants, either before or after the trial.
These results suggest a considerable improvement in their oral health following using Stingfree nicotine pouches.
The trial tested the effectiveness of Stingfree pouches and turned 20 of the 23 participating dentists into active advocates of the product.
They now recommend it to their patients who suffer from oral health problems related to snus use.
For those who cannot or do not want to give up nicotine, Stingfree offers an alternative that mitigates harm and actively improves oral health.
Bengt Wiberg, the visionary behind Stingfree, proudly stated: “I am delighted that my invention is now the only nicotine product in the world recommended by dentists.”
Why is this impact on oral health so important?
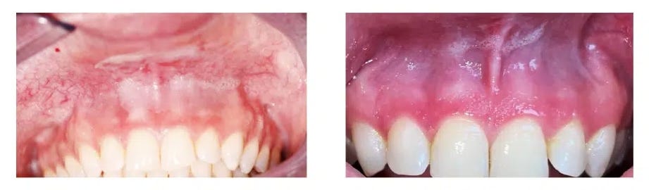
Specifically, one participant, a male dentist between the ages of 40 and 45, had been using snus and nicotine pouches for over 20 years.
During the trial, he maintained his usual consumption, using a total of 45 cans, averaging nine cans per week, each containing 20 nicotine pouches.
Before starting to use Stingfree nicotine pouches, his gum condition had a snus lesion severity of 3 on a scale of 4, as shown in the image.
However, after using Stingfree pouches, a significant improvement in his oral health was observed, with a total reduction of the lesions to a severity of 0, as evidenced by the image.
This suggests a complete recovery from previous oral lesions.
The use of Stingfree nicotine pouches significantly improved the participant’s oral health, completely eliminating the oral lesions previously caused by snus use.
These results suggest that Stingfree nicotine pouches could be an effective solution to reduce the oral damage associated with snus and other nicotine products, which is especially relevant for users with a long history of use.
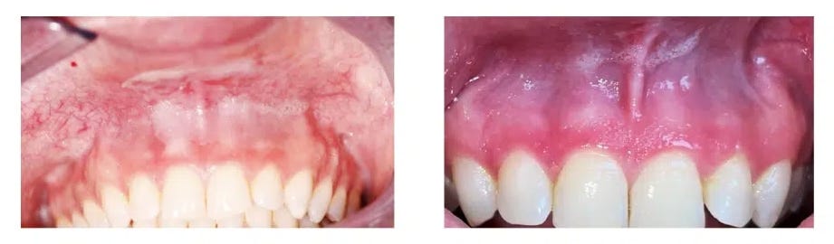
In these images, we see the clinical case of a male dentist, aged 35 to 40, who had been using nicotine pouches for 5 to 10 years.
Swedish innovation with a global outlook
The success of Stingfree in trials with oral health professionals suggests that its impact could be even greater as more users and specialists become aware of its benefits.








